Día Internacional del Sarcoma: ¿Cómo identificar los síntomas del osteosarcoma? un cáncer que afecta principalmente a jóvenes
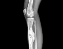
El osteosarcoma es el tipo de sarcoma óseo más común y suele aparecer entre los 15 y 30 años. Aunque es una enfermedad poco frecuente —con una incidencia de aproximadamente 1 caso por millónde personas al año— su comportamiento agresivo hace que el diagnóstico precoz y el tratamiento oportuno sean claves para mejorar el pronóstico.
En Chile, el Instituto Traumatológico es el centro de referencia nacional para el tratamiento del osteosarcoma en personas mayores de 15 años, enfermedad que está cubierta por el sistema GES como la patología N°73.
“El osteosarcoma es un cáncer que se origina en las células que forman el hueso. Afecta principalmente a adolescentes y adultos jóvenes, y su tratamiento debe ser rápido y coordinado para lograr los mejores resultados”, explica el Dr. Orlando Wevar, jefe del equipo de Oncología Ortopédica del Instituto Traumatológico.
Los principales síntomas a los que hay que estar atentos:
Dolor óseo persistente (especialmente por las noches o en reposo)
Hinchazón o bulto en alguna zona del cuerpo
Dificultad para mover una extremidad
Fracturas sin causa aparente
El tratamiento del osteosarcoma combina quimioterapia, cirugía y en algunos casos radioterapia. Gracias al GES, el diagnóstico, tratamiento y seguimiento están garantizados, lo que permite un acceso más equitativo y oportuno para pacientes de todo el país.
Los pacientes con sospecha o diagnóstico pueden acceder al Instituto Traumatológico mediante derivación desde su hospital de origen, dado que este centro público especializado es el único a nivel nacional que concentra la atención de adultos con esta enfermedad.
Día Internacional del Sarcoma: ¿Cómo identificar los síntomas del osteosarcoma? un cáncer que afecta principalmente a jóvenes. Noticia ingresada con fecha 14 de Julio del 2025.
El osteosarcoma es el tipo de sarcoma óseo más común y suele aparecer entre los 15 y 30 años. Aunque es una enfermedad poco frecuente —con una incidencia de aproximadamente 1 caso por millón de personas al año— su comportamiento agresivo hace que el diagnóstico precoz y el tratamiento oportuno sean claves para mejorar el pronóstico.
En Chile, el Instituto Traumatológico es el centro de referencia nacional para el tratamiento del osteosarcoma en personas mayores de 15 años, enfermedad que está cubierta por el sistema GES como la patología N°73.
“El osteosarcoma es un cáncer que se origina en las células que forman el hueso. Afecta principalmente a adolescentes y adultos jóvenes, y su tratamiento debe ser rápido y coordinado para lograr los mejores resultados”, explica el Dr. Orlando Wevar, jefe del equipo de Oncología Ortopédica del Instituto Traumatológico.
Los principales síntomas a los que hay que estar atentos:
Dolor óseo persistente (especialmente por las noches o en reposo)
Hinchazón o bulto en alguna zona del cuerpo
Dificultad para mover una extremidad
Fracturas sin causa aparente
El tratamiento del osteosarcoma combina quimioterapia, cirugía y en algunos casos radioterapia. Gracias al GES, el diagnóstico, tratamiento y seguimiento están garantizados, lo que permite un acceso más equitativo y oportuno para pacientes de todo el país.
Los pacientes con sospecha o diagnóstico pueden acceder al Instituto Traumatológico mediante derivación desde su hospital de origen, dado que este centro público especializado es el único a nivel nacional que concentra la atención de adultos con esta enfermedad.
Fin de la noticia.